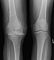
OSTEOARTHRITIS OF THE KNEE
Osteoarthritis (‘wear and tear’) of the knee is a common condition. It can affect the entire joint or just one compartment of the knee joint. Patients often experience pain which is related to activity, and find that rest relieves the pain.
This is a slowly deteriorating condition, and there comes a time when some patients find that the knee is sore for the majority of the time when they are walking. In such cases, if all non-surgical methods of treatment have been exhausted, including physiotherapy, weight loss and pain-killers, partial or total knee replacement will be considered.

